
Let’s face it. Dental X-rays can feel a little mysterious, especially when they involve your child. One minute they're getting their teeth cleaned with bubblegum-flavored polish, and the next they're suited up in a heavy apron as a machine whirs beside their cheeks. As a parent, it's natural to wonder: What exactly are those X-rays showing, and do they really matter if your child’s teeth look fine?
At The Smile Society Dental Studio in Jacksonville, FL, we believe that going to the dentist shouldn’t feel clinical or confusing. It should feel colorful, welcoming, and full of curiosity. That includes helping you understand why we take X-rays during your child’s dental visit, what we’re looking for, and how these tiny images play a big role in creating healthy little smiles for life.
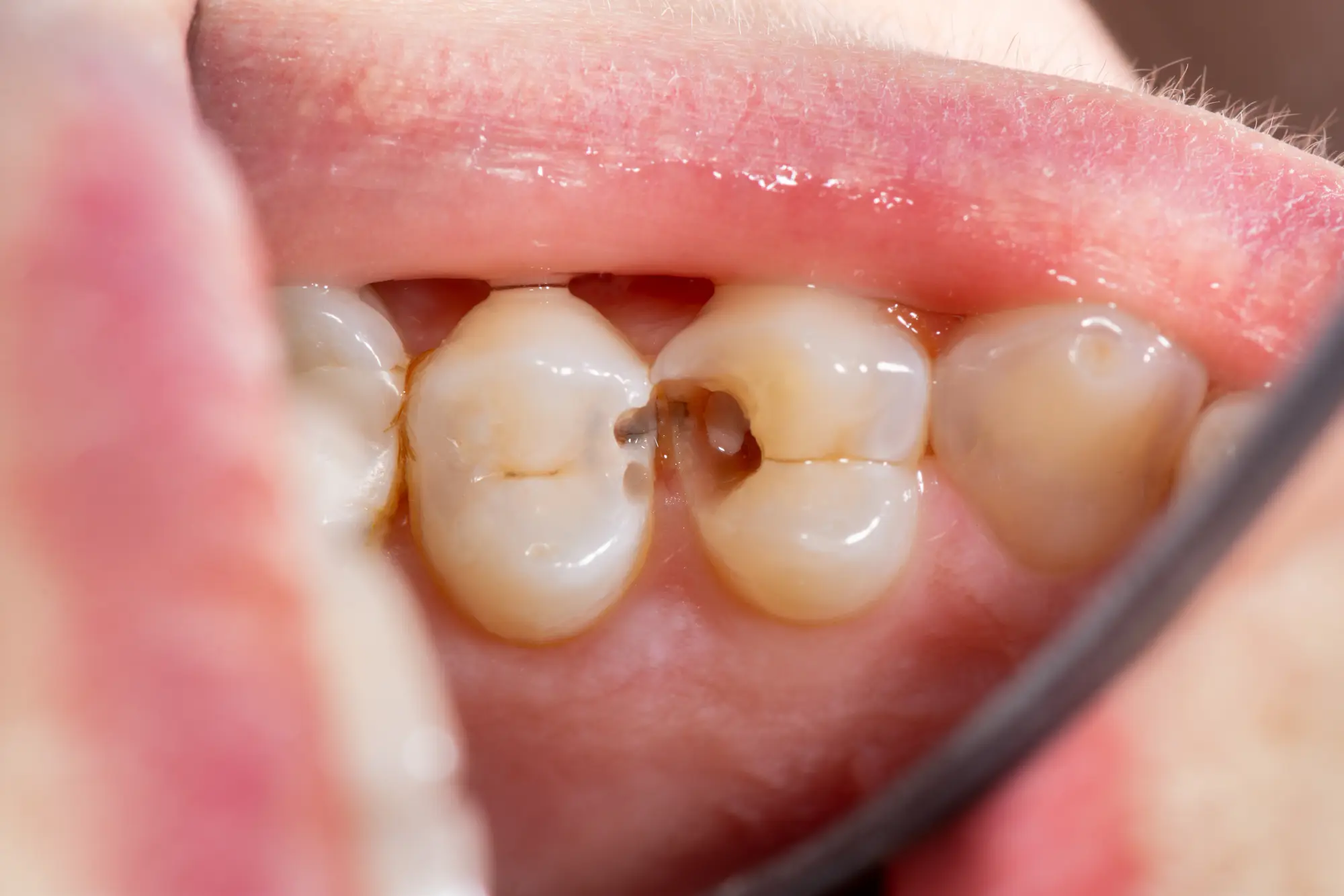
You can brush and floss daily, keep up with regular checkups, and still miss what’s happening beneath the surface. That’s where dental X-rays come into play. They give our team a peek behind the curtain to check on what the eye can’t see.
For children, this is especially important since their teeth, jaw, and bite are still developing very rapidly. Some of the reasons we use X-rays in children’s dentistry include:
In other words, those little grayscale images that show up on the screen after X-rays help us keep a big picture perspective on your child’s oral health!
From the moment your child steps into The Smile Society Dental Studio, everything from our sensory-aware design to our playful pop-art decor is about fostering comfort, fun, and trust. And when it’s time for X-rays, it's no different. Here’s how we keep the process smooth and stress-free:
Feeling in-the-know is empowering for kids and parents alike, which is why we keep you involved every step of the way.
Depending on your child’s age, needs, and dental history, Dr. Kenjula may recommend different types of X-rays. Each one tells a different part of your child’s dental story:
Depending on your child’s risk factors for cavities and overall dental health, we may take X-rays annually or every few years. Our team follows guidelines set by the American Dental Association and American Academy of Pediatric Dentistry to ensure it’s always necessary and beneficial.
This is probably one of the most frequently asked questions we hear, and it’s a great one. At The Smile Society Dental Studio, safety is never optional. It’s foundational to everything we do. That’s why we’ve invested in digital X-ray technology that emits up to 80% less radiation compared to traditional film.
We also make sure your child is shielded with lead aprons and that X-rays are taken only when needed, based on their unique dental development and risk profile. With these modern safeguards in place, the benefits of early diagnosis and preventive care far outweigh the minimal exposure.
Every child’s timeline is a little different, but many children receive their first dental X-rays around age 4-5. This is just about when the back teeth touch and cavities can begin to form.
If a cavity, dental injury, or another dental concern occurs earlier, Dr. Kenjula may recommend imaging to help diagnose the issue and protect your child’s smile. It’s all personalized based on your child’s needs, comfort, and development.
Dentistry doesn’t have to be cold or clinical. At The Smile Society Dental Studio, we’ve turned the typical dental office into a vibrant, imaginative space that feels like a modern art exhibit made just for tiny smiles. Checkerboard floors, sensory-conscious design, and inclusive support come together to create a haven where kids can simply be kids.
But more than just aesthetics, we build relationships. With your child, with you, and with our Jacksonville community. Whether your kiddo has an adventurous spirit or a tender heart, we see them, we celebrate them, and we tailor every touchpoint of care to meet them where they are, from their first cleaning to their first cavity and every X-ray in between.
We know not every family has dental insurance, and that should never be a barrier to excellent preventive care. That’s why we offer a flexible, no-insurance membership plan that covers routine cleanings, exams, digital X-rays, and even discounts on additional treatments.
It's peace of mind, the personalized way. Plus, with our transparent pricing and no surprise bills, you can focus on what matters most. Helping your child grow with a smile that’s strong, confident, and cavity-free.
Understanding your child’s X-rays is just one way we help you feel confident and informed at every appointment. Seeing what’s happening behind the scenes helps us spot problems early and keep those little teeth healthy for years to come.
Ready to schedule your child’s next dental visit in Jacksonville, FL? The team at The Smile Society Dental Studio is here with open arms, bright artwork, and expert care your family can count on. Call us at (904) 323-3140 or book online today. Let’s create a lifetime of healthy smiles together!
